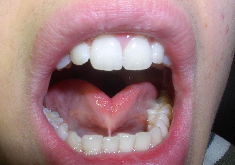
Partial or complete fusion of the tongue with the floor of the mouth or the lingual gingiva due to an abnormally short, midline lingual frenulum, resulting in restricted tongue movement and speech impediments; may be complete or partial. Also known as adherent tongue, lingua frenata, and tongue‐tie.
Condition in which the band of tissue (frenum) connecting the lower surface of the tongue to the floor of the mouth is abnormally short, limiting the normal movement of the tongue; also called tongue-tied.
Abnormal shortness of the frenulum of the tongue.
