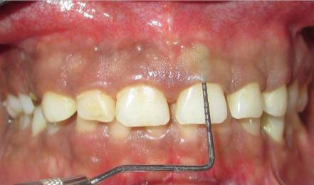
Bone sounding

Simple preoperative procedure performed under local anesthesia using a fine needle with a rubber stopper. The needle is used to penetrate soft tissues to assess the form and volume of the existing alveolar ridge.


 


Posted

in

by

Tags: