A condition characterized by an abnormal increase in hunger along with a binge-purge syndrome.
Episodic eating binges or excessive intake of food or fluid, generally beyond voluntary control. Characteristics are self-induced vomiting and purging following eating, which is of the binge-eating variety. The resulting loss of body fluids and electrolytes may lead to severe disturbances such as EKG abnormalities and tetany. Sometimes seen as a symptom in anorexia nervosa.
An abnormal increase in the sensation of hunger.
A psychological condition in which a person eats too much and is incapable of controlling his or her eating. The eating is followed by behaviour designed to prevent weight gain, e.g. vomiting, use of laxatives or excessive exercise.
An eating disorder characterized by consumption of great quantities of food in a short time, followed by vomiting or use of laxatives.
A condition that involves overeating followed by purging. Purging methods include vomiting or the use of laxatives.
Habitual self-induced vomiting. It frequently accompanies anorexia nervosa and may follow binge eating. It is associated with abnormal signaling of hunger and satiety.
A type of mental disorder, psychiatrically classified as an eating disorder, that involves binge eating intake of large amounts of food in a short time followed by induced vomiting, use of laxatives, dieting, or fasting, to avoid gaining weight. This is commonly called the binge-purge cycle. Binges often take place secretly, with eating pattern quite out of control, and are halted only by abdominal pain, vomiting, sleep, or outside interruption. Sometimes associated with anorexia nervosa, bulimia is not, by itself, generally a life-threatening disease. But it wreaks enormous havoc on the body all the same, with stomach acid causing dental decay, persistent vomiting sometimes causing tears and ruptures in the stomach and esophagus, and disturbance of the body’s electrolytes and dehydration leading to severe physical problems, including heart irregularities, which can sometimes trigger death. The disorder usually occurs in adolescence or early adulthood, more among females than males, and may persist for years. As with anorexia nervosa, the causes are unknown.
Potentially serious disorder, especially common in adolescents and young women, marked by insatiable craving for food and leading to episodes of excessive overeating, often followed by self- induced vomiting, purging, or fasting. Treatment involves primarily psychotherapy.
Disorder characterized by episodes of self-induced purging after binging.
An eating disorder characterized by greatly increased eating (binges), alternating with periods of purging (laxative abuse, vomiting, and greatly reduced eating).
A behavioral illness characterized by recurrent episodes of binge eating and extreme countermeasures to reduce the effect of the food, often by self-induced vomiting. Binges consist of eating abnormally large amounts, typically high-calorie sweets such as ice cream or cake, in a relatively short period. During the binge, the person feels out of control, as if he or she is incapable of stopping until all the food has been consumed. Following the binge, the person tries to eliminate the calories by self-induced vomiting, by purging (using diuretics or laxatives), or by excessive exercise or fasting.
Insatiable overeating. This symptom may be psychogenic, occurring, for example, as a phase of anorexia nervosa; or it may be due to neurological causes, such as a lesion of the hypothalamus.
Bulimia means insatiable appetite of psychological origin. This eating-disorder symptom may be of psychological origin or the result of neurological disease — for example, a lesion of the hypothalamus. Bulimia nervosa is linked to anorexia nervosa and is sometimes called the binge and purge syndrome. Bulimia nervosa is characterised by overpowering urges to eat large amounts of food, followed by induced vomiting or abuse of laxatives to avoid any gain in weight. Most of the victims have a morbid fear of obesity. They indulge in bouts of gross overeating, or ‘binge rounds’ as they describe them, to ‘fill the empty space inside’. By their bizarre behaviour, most of them manage to maintain a normal weight. The condition is most common in women in their 20s; it is accompanied by irregular menstruation, often amounting to amenorrhoea. Although there are many similarities to anorexia nervosa, bulimia nervosa differs in that there is no attempt at deceit; sufferers freely admit to an eating disorder and feel distress about the symptoms that it produces. In spite of this, the response to treatment is, as in anorexia nervosa, far from satisfactory.
A serious eating disorder in which a person alternates eating binges with purging.
Eating disorder characterized by a pattern of binge eating and purging in an attempt to lose or maintain low body weight.
An eating disorder characterized by episodes of continuous eating, often followed by self-induced vomiting.
Bulimia, a psychiatric disorder, is defined by episodes of excessive eating, often accompanied by subsequent self-induced vomiting or the misuse of laxatives. This condition primarily affects girls and women aged between 15 and 30. In certain instances, the symptoms of bulimia may coexist with those of anorexia nervosa, another eating disorder.
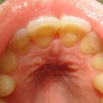
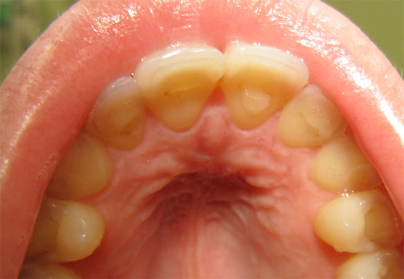
Frequent vomiting associated with bulimia can result in dehydration and potassium depletion, leading to symptoms such as weakness and muscle cramps. Additionally, the gastric acid present in vomit can cause damage to tooth enamel. The treatment of bulimia typically involves monitoring and regulating the individual’s eating patterns, psychotherapy to address underlying psychological factors, and, in certain cases, the use of antidepressant medications.
