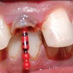
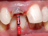
Cast post‐and‐core

A one‐piece foundation restoration for an endodontically treated tooth that comprises a post within the root canal and a core replacing missing coronal structure to form the tooth preparation.


 


Posted

in

by

Tags: