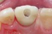
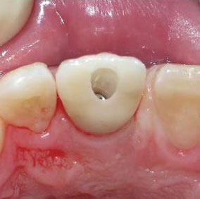
Prosthetic implant component composed of a ceramic biomaterial that is considered an esthetic material as compared to unesthetic metal. The ceramic material used in fabrication of a prosthetic implant component varies, as does the fabrication method of various manufacturers, which can include use of CAD/CAM technology.

Ceramic abutment
by
Tags: