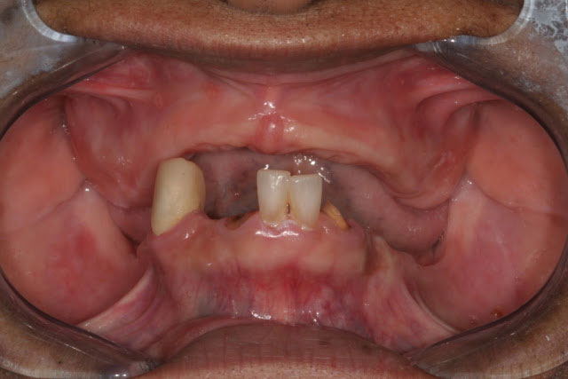
The clinical changes observed when an edentulous maxillary arch is opposed by a mandible with retained anterior teeth that may or may not be extruded and missing posterior teeth. Over time, there is a loss of bone in the premaxilla and in the edentulous posterior mandible, overgrowth of the maxillary tuberosities, and hyperplasia of the hard palate mucosa. Also referred to as anterior hyperfunction syndrome, or Kelly syndrome.
