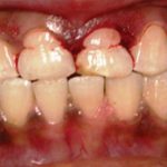
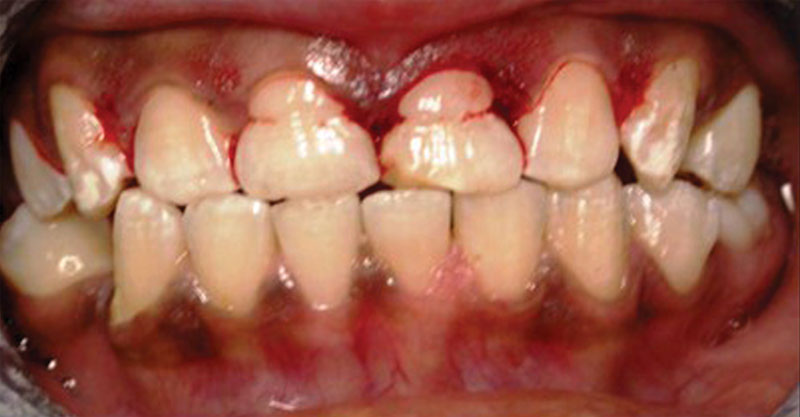
This procedure is used in an otherwise periodontally healthy area to remove enlarged gingival tissue to provide an anatomically correct gingival relationship with the anatomic crowns. In some instances, removal of supporting bone (ostectomy) may be required.
