Loss of minerals (as salts of calcium) from the body.
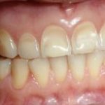
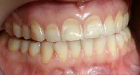
In dentistry, decalcification, usually related to the dental caries process.
Loss of mineral salts, especially from bone, as can occur in hyperparathyroidism and osteomalacia.
Reduction of minerals such as calcium in body tissues, particularly related to bone.
Loss of mineral salts, especially from the teeth or bones. It occurs commonly in dental caries; next to joints in people with arthritis; in bones that have been immobilized; in underutilized bones after stroke; and in osteoporosis.
Excessive depletion of calcium and phosphate minerals from the bones characterizes the condition known as demineralization. Generalized demineralization can occur as a consequence of immobility following an illness or injury, or it may stem from a bone disease such as osteomalacia. On the other hand, patchy demineralization can be attributed to bone metastases, which are cancerous tumors that have spread from other parts of the body. This condition weakens specific areas of the bone, elevating the risk of fractures.
