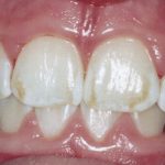
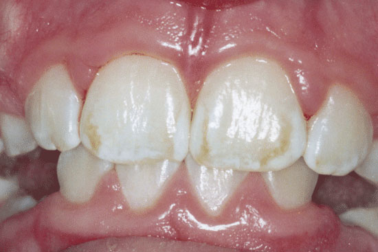
Fluorosis

Condition that occurs because of excessive intake of fluoride either through naturally occurring fluoride in the water, water fluoridation, toothpaste, or other sources.


A dental health condition caused by a child receiving too much fluoride during tooth development.


Damage to teeth (white to brown mottling of the enamel) and bones caused by an excessive intake of fluoride.


A mottled discoloration of the enamel of the teeth resulting from chronic ingestion (or exposure to) of excessive quantities of fluorine.


A condition caused by excessive fluoride in drinking water.


A condition of excess fluoride intake chiefly characterized by a mottled appearance of the tooth enamel.


Condition resulting from excessive intake of fluorine, usually from too high concentrations in drinking water; it causes discoloration and pitting of tooth enamel in children and bone and joint changes in adults.


A condition that changes the color and texture of the tooth enamel as a result of excessive exposure to fluoride. Most cases of fluorosis are caused by higher than necessary concentrations of naturally occurring fluoride in drinking water. Fluorosis may cause the tooth enamel to become darkened, pitted, mottled, or spotted with opaque white patches. Although all the teeth are involved in fluorosis, changes in coloration and structure of the enamel may affect only a few teeth and may range from white surface spots to yellow or brown pitting. When these changes are not cosmetically acceptable, or in severe cases of fluorosis that cause the tooth enamel to crack or chip off, dental bleaching, composite bonding, or dental crowns may become necessary.


A state of chronic poisoning through long-term exposure to excessive quantities of the inorganic compounds of fluorine. Excess fluoride in the diet or water supply leads to mottling and pitting of the teeth, thickening of the bones (with hardening of the tendons and ligaments), and kidney damage.


Chronic fluorine poisoning, sometimes marked by mottling of tooth enamel. It may result from excessive exposure to fluorides from dietary, waterborne, and supplemental sources.


Fluorosis refers to the mottling or staining of tooth enamel caused by excessive fluoride ingestion during tooth development. In severe cases, the enamel may develop brown stains. This condition primarily occurs in areas where the fluoride level in water exceeds the recommended limit or when additional fluoride supplements are taken.


 


Posted

in

by

Tags: