A congenital disorder that is the result of a decrease in the typical number of cells and manifests as defective or incomplete organ/tissue development.
Incomplete development or underdevelopment of an organ or tissue.
poorly developed, under-mineralised enamel.
The incomplete development of an organ or tissue.
A lack of development or incorrect formation of a body tissue or an organ.
Underdevelopment of an organ due to decrease in the number of cells.
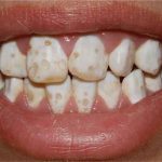
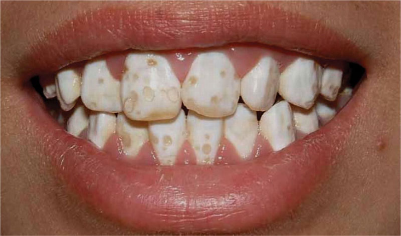
The incomplete development of tooth enamel that produces abnormal tooth color and shape. Enamel hypoplasia may affect a single tooth with mild discoloration or white spotting, or the surface of many teeth may be deeply pitted. The enamel may be yellowish; the surface may flake and chip or show surface wrinkling. Enamel hypoplasia may be due to heredity or caused by environmental conditions, such as vitamin deficiencies, illness with high fever when the teeth are forming, certain venereal diseases, and fluorosis. Trauma at birth and local infections of an abscessed primary tooth may also cause the condition. Dental treatments for enamel hypoplasia depend on the severity of the condition. Bonding, veneers, and crowns may help to correct cosmetic problems. Partial or complete dentures or dental implants may be options in more severe cases when tooth loss is involved.
