Glossary
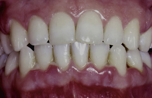
A distinct erythematous linear band limited to the free gingiva; commonly a manifestation of immunosuppression that does not predictably respond to plaque removal.
Posted
in
by
Tags: