Mindblown: a blog about philosophy.
-
Cavus (plural cavi)
(Of spore wall) indentations, hollows.
-

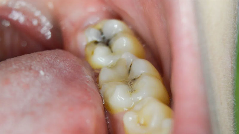
Cavity
Small, narrow hollow. A hole or space inside the body. A hollow space in a body organ or structure; in reference to dentition, this term identifies erosion of dental structure. A hollow enclosed area; for example, the abdominal cavity or the buccal cavity (mouth). A hollow space, such as a body organ or the hole…
-
Cauline
Arising from, or inserted on, the stem. Belonging to the stem, as in cauline leaves that emerge from the stem. Belonging, or pertaining, to the stem.
-
Caulinary
Having to do with the stem [unusual term].
-
Cauligerous
Borne on a stem.
-

Cauliflory
Production of flowers from older wood.
-

Cauliflorous
With flowers and fruits on the stem or trunk. Refers to a plant that produces flowers and fruits directly on the trunk and on older, thicker branches (e.g., cacao and jackfruit). With flowers and fruits emerging from the stem or trunk.
-

Cauliferous
Bearing flowers and fruits on the stem or trunk.
-
Caulicle
A short stem, especially that in the embryo [unusual term].
-
Caulescent
With an evident stem above ground. Aerial stem or stems evident. Obviously stemmed.
Got any book recommendations?