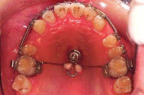
Palatal implant

Dental implant placed in the midsagittal area of the maxillary hard palate for use as anchorage in orthodontic treatment.


 


Posted

in

by

Tags: