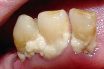
An organized mass, consisting mainly of microorganisms, that adheres to teeth, prostheses, and oral surfaces and is found in the gingival crevice and periodontal pockets. Other components include an organic, polysaccharide‐protein matrix consisting of bacterial by‐products such as enzymes, food debris, desquamated cells, and inorganic components such as calcium and phosphate.
A clear zone in a bacterial culture grown on an agar plate caused by localized destruction of bacterial cells by a bacteriophage. The concentration of infective virus in a fluid can be estimated by applying the fluid to a culture and counting the number of.
Deposits of lipid material mixed with smooth muscle cells and calcium which are lodged in artery walls.
A thin film, composed of saliva, microscopic food particles, and bacteria that coats tooth and tongue surfaces. The sugars and starches you eat are digested by the bacteria, producing acid that attacks tooth enamel. This acid is the cause of tooth decay and, over the long term, of gum disease.
Solid, elevated patch of skin. Often formed from the combination of numerous, closely spaced papules.
A deposit of hardened material lining the blood vessel; or a gummy accumulation of microorganisms that clings to teeth and is considered the forerunner of caries and periodontal disease.
Certain areas of the brain that have undergone a specific form of degeneration. Senile plaques (neuritic plaques) consist of a central amyloid core surrounded by a less densely staining zone composed of abnormal neurons, with many axonal and dendritic processes and masses of paired helical filaments (neurofibrillary tangles). In alzheimer’s disease, plaques are particularly dense in the amygdaloid complex and the hippocampus. The relation between the abnormal protein fibers inside neurons (the paired helical filaments) and those outside the cells (i.e., amyloid) is currently under investigation.
(1) Dental plaque is a layer of bacteria in an organic matrix on the surface of teeth, especially around the neck of each tooth. May lead to development of gingivitis, periodontal disease and caries. (2) Atherosclerotic plaque is the development of fatty streaks in the walls of blood vessels.
The AD-DP gene, which codes for the beta-amyloid protein that accumulates in the blood vessel walls and in the neuronal tissue in both Alzheimer’s and aged Down’s brains, maps to chromosome 21.
Flat, raised patch on the skin or mucous membrane.
A film of saliva, mucus, bacteria and food residues that builds up on the surface of teeth and can cause gum damage.
A mixture of bacteria, saliva, and leftover food that forms a deposit on teeth and eats into the enamel, causing tooth decay, or caries. If plaque is not cleaned off routinely, it hardens into a mineral deposit called calculus or tartar, which the dentist must remove by scaling.
Lipid deposition on the arterial wall of a vessel or structure.
A fatty deposit inside an artery wall. As the plaque builds, it may develop a thick covering of calcium, which causes the characteristic hardening of the artery in atherosclerosis. The growing plaque can narrow the opening in the artery and restrict blood flow, sometimes causing blood to pool behind the restriction and ballooning the artery into an aneurysm.
The mixture of saliva, bacteria, and carbohydrates on the surface of teeth that facilitates the progress of caries and precipitates calculus (tartar).
A coating of the teeth which forms as a result of poor mouth and dental hygiene. It consists of food debris and bacteria; later, calcium salts will be deposited in it to form calculus. It is therefore associated with both caries and periodontal disease.
Plaque is an accumulation of cholesterol on the inner walls of coronary arteries.
An area of inflamed or demyelinated central nervous system tissue.
A sticky, invisible, bacteria filled film that covers the teeth deposits of cholesterol that narrow or block arteries.
A confined and unobscured space that is distinguished within a turf of merged bacterial development in a controlled environment, produced by the decomposition of the bacteria in that specific zone by a phage.
The buildup of lipids and various other substances within the inner lining of an artery forms a deposit commonly known as plaque.
The label assigned to a region affected by atherosclerosis, characterized by the accumulation of fatty deposits within arteries. These plaques remain asymptomatic until they reach a size that restricts blood circulation or when the surface of a plaque becomes disrupted, leading to blood clot formation (thrombosis). Plaques found in the coronary arteries, responsible for providing blood to the heart, contribute to the development of coronary artery disease.
