Glossary
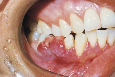
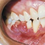
A reactive overgrowth of exuberant granulation tissue possibly in response to local irritation or trauma. This vascular mass often is ulcerated and may be smooth or lobulated and pedunculated or sessile.
Posted
in
by
Tags: