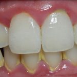
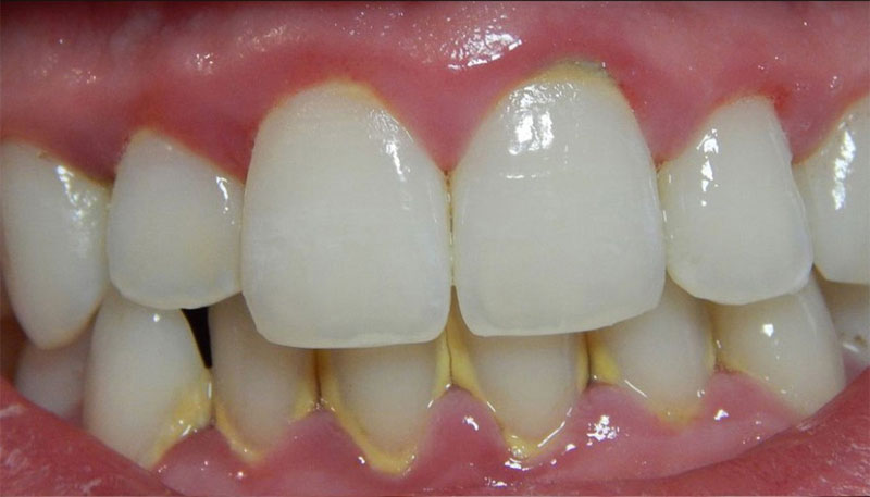
Ulitis

Inflammation of the gums.


 


Posted

in

by

Tags: