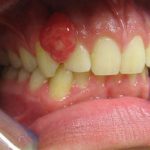
Epulis

A nonspecific word for any inflammatory cellular proliferation or a tumor‐like growth or lump of the gingiva.


A type of tumor of the gums or jaw.


An old term for a swelling of the gum. Such a swelling is usually either a reparative ‘granuloma or consists of a mass of fibrous tissue developed around ill-fitting dentures.


Epulis is a term applied to any tumour connected with the jaws.


A fibrous sarcomatous tumor having its origin in the periosteum of the lower jaw.


 


Posted

in

by

Tags: