That part of the masticatory mucosa covering the alveolar process and surrounding cervical portion of teeth. This fibrous connective tissue, covered by keratinized epithelium, is contiguous with periodontal ligament and mucosal tissues of the mouth.
Gingivae, mucous membrane and fibrous tissue that encircles the neck of each tooth; also called gum.
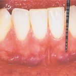
The medical term for the gums. The tops of the teeth, or natural crowns, develop within the gingiva, grow outward from it, and are attached by the cementum, or tissue covering their roots. The gingiva has a rich supply of blood vessels that become red and inflamed if not properly cleansed and stimulated by flossing and using a rubber pick.
The layer of dense connective tissue and overlying mucous membrane that covers the alveolar bone and necks of the teeth and extends a short distance into each socket.
The tissue that surrounds the teeth and covers the bone around the teeth; the gum.
