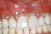
Free soft tissue autograft. Surgical procedure performed to establish an adequate amount of keratinized tissue around a tooth or dental implant, or to increase the quantity of tissue of an edentulous ridge.
A sliding graft employing the gingival papilla as the graft material.
