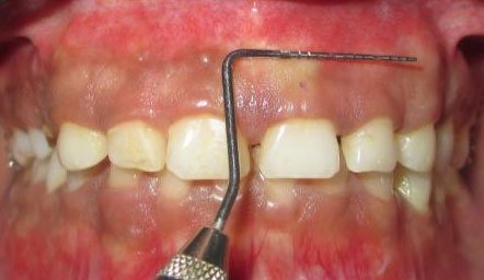
Mucogingival junction

The junction or area of union of the gingiva and the alveolar mucosa.


The zone where the gingiva and alveolar mucosa meet.


A scalloped, indistinct boundary between the gingiva and the oral mucosa on the alveolar process. The coral color of gingiva may be contrasted with the more vascular oral mucosa. Also called the mucogingival line.


 


Posted

in

by

Tags: