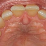
Nasopalatine duct cyst

A developmental, nonodontogenic cyst originating from embryonic remnants within the nasopalatine duct. Also known as an incisive canal cyst.


 


Posted

in

by

Tags: