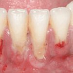
Necrotizing ulcerative periodontitis

An infection characterized by necrosis of gingival tissues, periodontal ligament, and alveolar bone. These lesions are often associated with malnutrition, human immunodeficiency virus infection, and immunosuppression.


 


Posted

in

by

Tags: