(Of dentate, serrate and crenate leaf margins) small sharp protuberances.
The pendant, spinelike, spore-bearing structures characteristic of the tooth fungi.
Bony structures that are rooted in the jaw and cushioned by the gums; they have a coating of enamel and then dentin surrounding living pulp, which includes nerves and blood vessels. Humans get two sets of teeth, the primary teeth (also called baby, milk, or deciduous teeth) that begin appearing in infancy and the permanent teeth that start arriving around age six or seven.
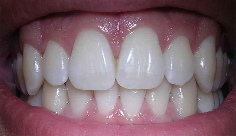
Hard structures set into the jaw and upper mouth that chew food and help form speech sounds. Each tooth has three parts. The visible crown extends up from the line of the gum. The root, which represents most of the tooth’s bulk, is bound into the bone by a tough, fibrous membrane. The neck is the narrow region between the crown and root. The surface of the crown is covered with enamel, which is the hardest substance in the body and insensitive to touch or pain. Below the enamel lies the main part of the tooth called the dentin, which is less hard than the enamel and sensitive. The core of the crown, neck, and root is filled with a fibrous pulp richly supplied with nerves and blood vessels through the root canal. The tooth is partially encased in a bony socket.
Hard organs developed from the mucous membranes of the mouth and embedded in the jawbones, used to bite and grind food and to aid clarity of speech.
Rigid, bone-esque projections situated within the jaws and encased by the gums. These dental structures are utilized for chewing (mastication), contributing to speech formation, and providing facial contour. Within each tooth lies the pulp, a central region containing blood vessels and nerves, encased by durable dentine. The visible portion of the tooth above the gumline is called the crown, safeguarded by enamel – the body’s hardest material. The tooth’s roots, fitting snugly into the jawbone, are enveloped by a bony substance known as cementum.
In adult humans, a set of 32 enduring teeth emerge subsequent to the shedding of primary teeth, typically commencing around the age of six. This assortment of teeth consists of incisors designed for cutting, canines with pointed edges, premolars for grinding, and more substantial molars primarily used for further grinding.
Small, bone-like formations in the jaws used for chewing food.
