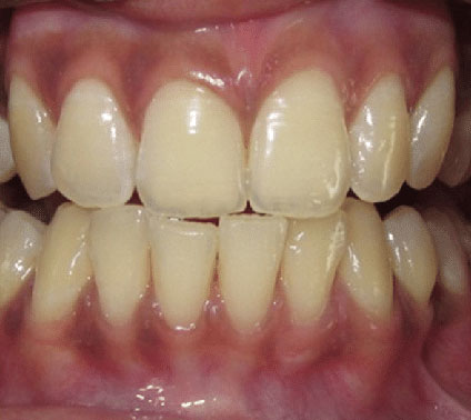
Thick periodontal biotype

Periodontal biotype characterized by a thick and wide keratinized tissue at the facial aspect of teeth and oral implants. This biotype is prone to pocket formation instead of gingival recession in the presence of periodontal disease.


 


Posted

in

by

Tags: